从无法忍受的“疼痛”,到峰回路转的“轻松”,只在手术台上那60分钟间
年近90岁的闫奶奶
10余天前突发右上腹绞痛
伴有肩背部疼痛
恶心、呕吐、不能进食
且小便呈红酒色,大便发白
每天都处在无法忍受的“疼痛”之中
甚至开始出现精神淡漠
意识模糊等休克前的表现

然而,在这个地方
她仅仅用了一个星期的时间
就摆脱了所有的痛苦根源
真正感觉到了峰回路转的“轻松”
6月2日下午17:35分,一辆120急救车闪着顶灯驶入徐州市矿山医院。一名意识模糊,精神萎靡的耄耋老人被迅速送入急诊科。值班医生一边向患者家人了解情况,一边紧急抢救。

家人介绍,闫奶奶有冠心病史15年,一直药物治疗,曾于去年4月份因胆囊结石、胆总管结石在外院做过胆囊切除+ERCP取石+引流术。

起初以为是受凉引起的,没有重视,谁知3天后小便渐由黄色变成红酒色,大便也逐渐变浅,呈白石灰色,并开始出现发热现象,到当地诊所就诊,予其输液治疗(具体不详),但也只是有所缓解,效果欠佳。
6月2日中午再次出现绞痛发作,且持续时间较长,无法忍受,当地诊所表示条件有限,建议去当地医院检查。后又到当地医院就诊,诊断为胆总管结石、胆管炎。
想要根治就必须通过手术的方式!!!但因患者高龄、手术难度大、风险高,当地医院没有这方面的经验。这时闫奶奶已经出现精神淡漠、意识模糊等休克前的表现,家人彷徨无措、焦急万分……
怎么办?

手术危险那就回家保守治疗?
老人每天都在承受痛苦,且已经出现休克前的症状,肯定不行!

杨 林
徐州市矿山医院
普外科副主任、副主任医师
我院在治疗胆总管结石上微创技术成熟,尤其是像闫奶奶这样的高龄老人在治疗上也是相当有经验,且已取得多次成功案例。

值班医生了解后,立即给杨林副主任打电话说明患者情况。
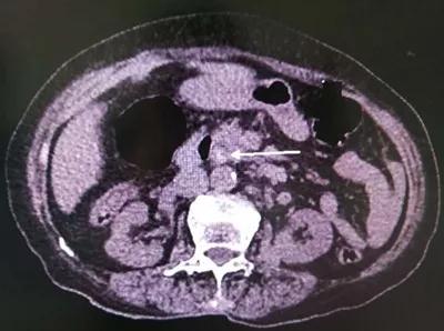
5分钟后,杨林副主任便赶到急诊科,这时腹部CT结果已经出来:胆总管多发结石伴胆道系统扩张,胆囊切除术后。

综合患者病情,杨林副主任认为其是典型的胆总管结石伴急性梗阻化脓性胆管炎(AOSC),如不立刻进行胆汁引流,会出现严重的并发症甚至危及生命。考虑到患者高龄,且基础疾病复杂,建议首先行ERCP引流胆汁,但因去年曾在外院做过此手术却没有解决病根,所以家人坚决拒绝内镜治疗(ERCP)。没办法,只有手术一条途径可走了…

讨论结果:
虽然患者情况复杂,但箭在弦上不得不发,在各科室做好充分准备的情况下,唯有通过腹腔镜联合胆道镜胆总管切开取石术方能达到创伤小、效果好、恢复快的目的。
与家人充分沟通后,决定急诊为其行微创手术(腹腔镜联合胆道镜胆总管切开取石+T管引流术)。术中发现既往手术带来了腹腔粘连等问题,极大的增加了手术的风险,但凭借医生的精湛技术,手术成功,历时60分钟。

术后患者意识清楚,血压、心率等生命体征平稳,一个星期后恢复良好,并带T管回家休养。

流程的优化
技术的成熟
团队的无间合作
为患者争取了更多抢救时间,
提高了抢救成功率。
责任,让我们担当
技术,让我们立足
信任,让我们成为患者的“堡垒”
专家推荐

杨 林
副主任医师
徐州市矿山医院普外科副主任
徐州市医学会外科学专业委员会疝与腹壁外科学组组员,徐州市抗癌协会肝胆肿瘤专业委员会委员。
毕业于南京医科大学临床医学专业,毕业后一直从事普外专业,研究生就读于徐州医科大学普外科专业。于2014年至江苏省人民医院进修,熟知普外科常见病诊治,擅长微创治疗疝、胆道系统结石等常见普外科疾病,擅长胃镜、肠镜检查及治疗。